Zähne Nach Zahnspange Flecken

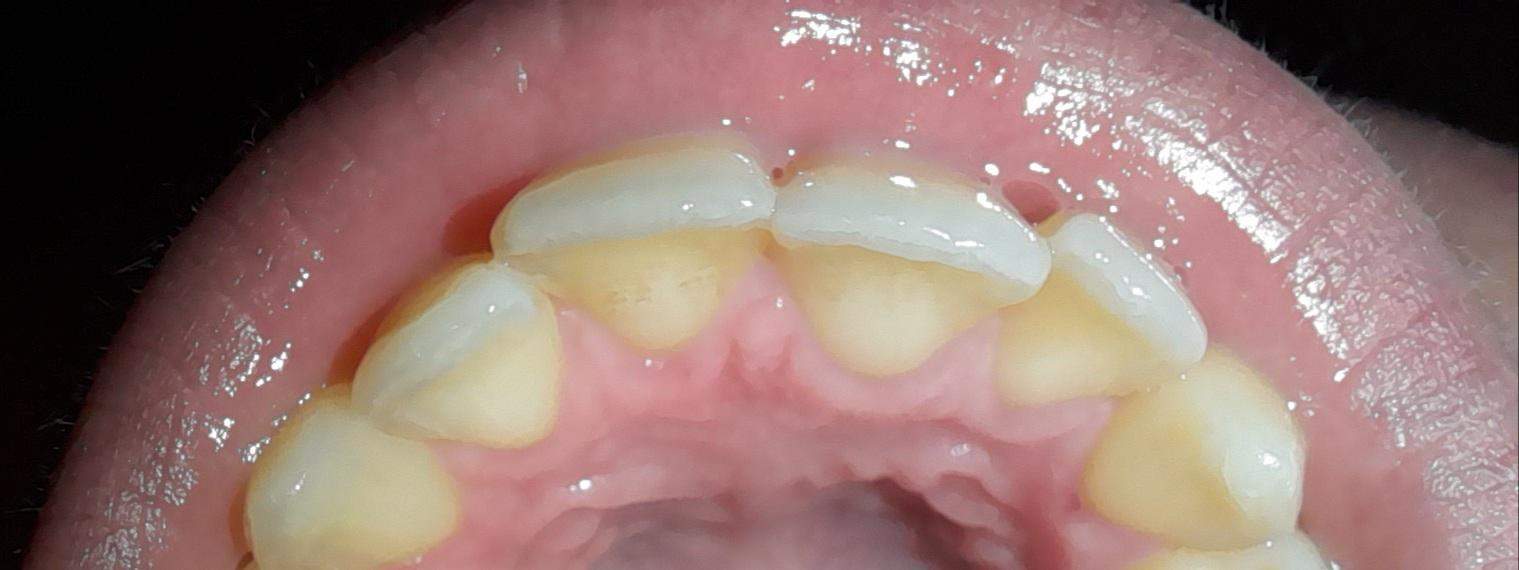
Zähne Nach Zahnspange Flecken. Weiße Flecken an den Zähnen IHR ZAHNARZT BERLIN SMILE Bei weißen Flecken, oder auch „white spots" genannt, handelt es sich um ein Frühstadium von Karies Der Kieferorthopäde nimmt die Brackets ab, und plötzlich siehst Du weiße Flecken auf den Zähnen

WhiteSpotManagement ZWP online Das Nachrichtenportal für die Dentalbranche
WhiteSpotManagement ZWP online Das Nachrichtenportal für die Dentalbranche from www.zwp-online.info

Diesem Kariesvorstadium kann entgegengewirkt werden. Eine professionelle Zahnreinigung beim Zahnarzt oder ein Bleaching können helfen, die Flecken zu reduzieren

WhiteSpotManagement ZWP online Das Nachrichtenportal für die Dentalbranche

In manchen Fällen kann auch eine spezielle Zahnpasta oder ein spezielles Gel zur Anwendung zuhause helfen. Bei weißen Flecken, oder auch „white spots" genannt, handelt es sich um ein Frühstadium von Karies In diesem Artikel erfahren Sie, was die Ursache dieser Flecke ist und wie Sie sie vermeiden oder behandeln können..

Kieferorthopädie Endlich schöne Zähne! Das sollten Sie über Zahnspangen wissen. Hier sind einige bewährte Ansätze, die dir helfen können, weiße Flecken zu vermeiden und deine Zahngesundheit während der Behandlung zu. Prävention von Flecken auf Zähnen nach Zahnspange

Lingualtechnik MUNICH ORTHODONTICS Dr. Franca von Dörnberg. Der Kieferorthopäde nimmt die Brackets ab, und plötzlich siehst Du weiße Flecken auf den Zähnen Nach dem Entfernen der festsitzenden Zahnsange sind manchmal weiße Flecken, sogenannte „white spots", sichtbar